lunes, 3 de noviembre de 2014

Anemias

Talasemia: Es una trastorno sanguíneo que se transmite de padre a hijo (hereditario) en el cual el cuerpo produce una forma anormal de hemoglobina, la proteína en los glóbulos rojos que transporta el oxígeno. Este trastorno ocasiona la destrucción de grandes cantidades de los glóbulos rojos, lo cual lleva a que se presente anemia.

Causas: La hemoglobina se copone de dos proteínas: la globina alga y la globina beta. La talasemia ocurre cuando hay un defecto en un gen que ayuda a controlar la producción de una de estas proteínas.
Esisten dos tipos principales de talasemia:

  • La talasemia alga ocurre cuando un gen o los genes relacionados con la proteína glovina alga faltan o han cambiado (mutado).
  • La talasemia beta ocurre cuando defectos genéticos similares afecta la producción de la proteína globina beta. 
Hay muchas formas de talasemia y cada tipo tiene muchos subtipos diferentes. Tanto la talasemia alfa como la beta abarcan las siguientes dos formas:
  • Talasemia mayor 
  • Talasemia menor
Es necesario heredar el gen defectuoso de ambos padres para padecer la talasemia mayor.
La talasemia menor se presenta si uno recibe el gen defectusos de solo uno de los padres. Las personas con esta forma de trastornos son portadores de enfermedad y por lo regular no tienen síntomas.
La talasemia beta mayor también se denomina anemia de Cooley.

Síntomas: 
La forma más grave de talasemia alfa mayor causa mortinato (muerte de bebé nonato durante el parto o en las ultimas etapas del embarazo). 

Los niños nacidos con talasemia mayor (anemia de Cooley) son normales en el nacimiento, pero desarrollan anemia graves durante el primer año de vida.

Las personas con la forma menor de talasemia alfa y beta tienen glóbulos rojos pequeños, pero no presentan ningún síntoma.

Tratamiento: 
El tratamiento para la talasemia mayor a menudo implica transfusiones de sangre regular y suplementos de folato.
No tomar suplementos de hierro si se ha realizado a un paciente una transfusión.
Las personas que reciben muchas transfusiones requieren un tratamiento llamado terapia de quelación, la cual se hace para eliminar el exceso de hierro del cuerpo.
Un trasplante de médula ósea puede ayudar a tratar la enfermedad en algunos pacientes, especialmente niños. 

Referencias Bibliográficas:  
Arribas, J. (2005) Hematología Clinica Tema de patología medica. España; Editorial Texto Universitario Ediuno.

Manascero, A. (2003). Hematóloga, herramientas para el diagnostico. Atlas de morfología celular, alteraciones y enfermedades relacionadas. (1a. Ed) Bogota, Colombia; Javiero. 








Anemias

Anemia drepanocitica: Es una enfermedad que se transmite de padres a hijos. Los glóbulos rojos, que normalmente tienen la forma de disco, presenta una forma semilunar. Los glóbulos rojos llevan oxigeno por todo el cuerpo.
Causas: 

  • La hemoglobina S cambia la forma de los glóbulos rojos.
  • Las células anormales llevan menos oxigeno a los tejidos corporales.
  • Puede ver una obstrucion de vasos sanguineos debido a la forma de los eritrocitos.
  • La anemia drepanocítica se hereda de ambos padres. Si  hereda el gen de los depranocítos de solo uno de los padres, tendra el rasgo depranocítico. Las personas con este rasgo no tiene los sintomas de la anemia drepanocítica.
  • Este tipo de anemia es mucho más común en personas de ascendencia africana o mediterránea y también se observa en personas de centro y Suramérica, el Caribe y el Medio Oriente.
Síntomas: 
  • Erección dolorosa y prolongada (priapismo)
  • Visión pobre o ceguera
  • Confusión
  • Ülceras en las piernas
  • Infección osea (osteomielitis)
  • Infección de la vesícula biliar (colocistitis)
  • Infección pulmonar (neumonía)
  • Infección urinaria
  • Retraso en el crecimiento en niños
  • Dolor articular causado por artritis 
  • Insuficiencia cardíaca.
Tratamiento: 
  • Transfusiones de sangre
  • Analgésicos
  • Mucho liquido
  • Antibióticos los cuales ayuda a reducir o prevenir infecciones bacterianas
  • Medicamentos que ayuda a reducir la cnatidad de hierro
  • Diálisis si el paciente presenta enfermedades renales
  • Extirpación  de la vesícula en personas con enfermedad por cálculos
  • Vacunas para prevenir la infección 
  Referencias Bibliográficas:
Arribas, J. (2005) hematologia Clínica Temas de patología medica. España; Editorial Texto Universitario Ediuno

Manascero, A. (2003). Hematología herramientas para el diagnostico. Atlas de morfología celular, alteraciones y enfermedades relacionadas. (1a. Ed) Bogota, Colombia; Javiero.

Anemias

Anemia aplásica idiopática:  es una afección en la cual la médula ósea no logra producir apropiadamente células sanguíneas. La médula ósea es el tejido blando y graso que se encuentra en el centro de los huesos.

Causas:
La anemia aplásica idiopática resulta de daño a las células madre en la sangre, células inmaduras en la medula ósea que da origen a todos los otros tipos de células sanguíneas. El daño causa un reducción en el numero de todo tipo de células sanguíneas en el cuerpo; glóbulos rojos, glóbulos blancos y plaquetas. Los bajos conteos de glóbulos rojos, glóbulos blancos y plaquetas corresponden a una afección denominada pancitopenia.

La anemia aplásica idiopática ocurre cuando el sistema inmunitario del cuerpo destruye por error células sanas. Esto se denomina trastornos autoinmunitarios. La anemia aplásica tambien puede ser causada por ciertas afecciones médicas, como embarazo o lupus o exposición a algunas toxinas o drogas (quimioterapias).
 En algunos casos, la anemia aplásica está asociada con otros trastornos sanguíneos, llamado hemoglobinuria paroxística nocturna.

Sintomas: 

  • Fatiga 
  • Palidez
  • Frecuencia cardíaca rápida
  • Debilidad
  • Dificultad para respirar
  • Encías sangrantes
  • Tendencia a la formación de hematomas.
  • Infecciones frecuentes o graves
  • Sangrado nasal 
  • Salpullido 
Tratamiento: 
Es posible que los casos leves de anemia aplásica no requieran ningún tratamiento. Los sintomas se tratan de la manera apropiada.
En caso moderados, las transfusiones de dangre y de plaquetas ayudarán a corregir la anemia y el riesgo de dangrado. Sin embargo, con el tiempo, las transfusiones de sangre pueden dejar de funcionar. Se puede acumular demasiado hierro en los tejidos corporales debido a las múltiples transfusiones.
La anemia aplasica grave ocurre cuando los conteos sanguíneos están muy bajos y es una afección potencialmente mortal. El trasplante de médula ósea o de células madre se recomienda para enfermedad grave en pacientes menores de 40 años; sin embargo este tratamiento funciona mejor cuando el donante es un hermano, lo que se denomina hermano donante compatible.
A los pacientes mayores y aquellos que no tenga un hermano donante compatible se le adnimistran fármacos que inhiben el sistema inmunitario, como la globulina antitimocitica. Este medicamento puede permitir que la médula ósea produzca células sanguíneas una vez más. Se pude ensayar una trasplante de médula ósea con un donante no emparentado si esto medicamentos no ayudan o si la enfermedad reaparece después de mejorar. 

Referencias Bibliográficas:
Arribas, J. (2005) Hematología Clínica Temas de Patología medica. España; Editorial Texto Universitario Ediuno. 

Manascero, A. (2003). Hematología, herramientas para el diagnostico. Atlas de morfología celular, alteraciones y enfermedades relacionadas. (1a. Ed) Bogota, Colombia; Javiero. 




Anemia

Anemia hemolítica:
Normalmente , los glóbulos rojos duran aproximadamente unos 120 días en el cuerpo. En la anemia hemolítica, los glóbulos rojos en la sangre se se destruyen antes de lo normal.

Causas:
La anemia hemolítica se presenta cuando la médula ósea es incapaz de repone los lóbulos rojos que se están destruyendo.
La anemia hemolítica inmunitaria se produce cuando el sistema inmunitario erróneamente toma a sus propios glóbulos rojos como sustancia extrañas. Entonces se desarrollan anticuerpos contra estos Glóbulos rojos. Estos anticuerpos atacan a los glóbulos rojos y provocan su degradación prematura.

Los glóbulos rojos se pueden destruir debido a:

  • Anormalías fenéticas dentro de los glóbulos (como la anemia depanocítica, talasemia y deficiencia de glucosas-6-fosfato deshidrogenasa)
  • Exposición a ciertos químicos, fármacos y toxinas
  • Infecciones
  • Coágulos de sangre en pequeños casos sanguíneos
  • Transfusión de sangre de un donante con un tipo de sangre que no es compatible.
Síntomas:
  • Debilidad o cansancio 
  • Dolor de cabeza
  • Falta de concentración
  • Color azul en la esclerotica de los ojos
  • Uñas quebradizas
  • Mareo al ponerse de pie
  • Color de piel pálido 
  • Dificultad a respirar
  • Lengua adolorida. 
Tratamiento:
  • En caso de emergencia, puede ser necesaria una transfusión.
  • Para un sistema inmunitario hiperactivo, pueden utilizar fármacos que inhiben dichos sistemas inmunitario.
  • Cuando las células sanguíneas se están destruyendo a un ritmo rápido, el cuerpo puede necesitar ácido fólico y suplementos de hierro extra para reponer lo que se esta perdiendo.
  • En raras ocasiones, se necesita cirugía para extirpar el bazo. 
Referencias Bibliográficas:
Arribas, J. (2005). Hematología Clínica Temas de patología medica. España; Editorial Texto universitario ediuno.

Manascero, A. (2003). Hematología herramientas para el diagnostico. Atlas de marfología celular, alteraciones y enfermedades relacionadas. (1a. Ed) Bogota, Colombia; Javiero. 








Anemias

Anemia por enfermedad cronica:
La anemia por enfermedad crónica se refiere a la que se encuentra en personas con ciertas afecciones prolongads (crónicas).

Causas: 

  • Trastornos autoinmunitarios como enfermedad de Crohn, lupus eritematoso sistémico, artitris reumatoidea y colitis ulcerativa.
  • Cancer, incluso linfoma y enfermedad de Hodgkin.
  • Enfermedad renal crónica.
  • Cirrosis hepática
  • Infecciones prolongadas como endocarditis bacteriana, osteomielitis, VIH/SIDA; hepatitis B o hepatitis C.  
Sintomas: 
  • Debilidad o cansancio
  • Dolor de cabeza
  • Palidez
  • Dificultad para respirar.
Tratamiento:
  • La anemia como frecuencia es tanleve que no requiere ningún tratamiento y probablemente mejorará cuando se trata la enfermedad que la esta causando 
  • La afección rara vez es tan grace como para requerir una transfusión de sangre. 
  • Algunas veces, se puede usar suplentos de hierro aunque sólo para pacientes cuyos niceles estan bajos.
Referencia Bibliográficas: 
Arribas, J. (2005) Hematología Clinica Temas de patología medica. España; Editorial Texto Universitario ediuno.
Manascero, A. (2003). Hematología, herramientas para el diagnostico. Atlas de morfología celular, alteraciones y enfermedades relacionadas. (1a. Ed) Bogota, Colombia; Javiero.

Anemias

Anemia Ferropénica:
La anemia ferropénica ocurre cuando el cuerpo no tiene suficiente cantidad de hierro, el cual ayuda a producir glóbulos rojos.

Causas: 
La anemia por deficiencia de hierro es la forma más común de anemia.

El hierro es una parte importante de los glóbulos rojos. Sin este elemento, la sangre no puede transportar oxigeno eficazmente. El cuerpo normalmente obtiene hierro a través de la alimentación y también reutiliza el hierro de los glóbulos rojos viejos.

  • Periodo menstrual frecuentes, prolongados o abundantes. 
  • Cáncer de esófago, estómago o colon. 
  • Várices esofágicas usualmente por cirrosis. 
  • Uso porlongado de aspirinas 
  • Úlceras pépticas
  • Celequía 
  • Enfermedad de Crohn
  • Vegetariano estricto
Sintomas:
  • Dolores de cabeza
  • Problemas para concentrarse o pensar.
  • Color azul en la esclerótica de los ojos 
  • Uñas quenbradizas 
  • Pica
  • Mareo al ponerse de pie
  • Color pálido de la piel 
  • Dificultad respiratoria
  • Dolor de lengua
  • Heces oscuas 
  • Dolor en la partes superior de abdomen 
  • Perdida de peso. 
Tratamiento:
  • Incluir suplementos de hierro y comer alimentos ricos en hierro.
  • Tomar hierro durante 6 a 12 meses. 
  • Los alimentos ricos en hierro 
Referencias Bibliográficas:
Arribas, J. (2005) Hematología Clínica Temas de patología medica. España; Editorial Texto universitario ediuno.

Manascero, A. (2003). Hematología, herramientas para el diagnostico. Atlas de morfología celular, alteraciones y enfermedades relacionadas. (1a. Ed) Bogota, Colombia; Javiero. 

Anemias

Anemia por deficiencia de folato: 
La anemia por deficiencia de folato es una disminución en la cantidad de globulos rojos (anemia) debido a una falta de folato, un tipo de vitamina B también llamada ácido fólico.

Causas:
En la anemia por deficiencia de folato, los glóbulos rojos son anormales grandes. Dichas células se denominan megalocitos. También se llama megaloblastos se observan en médula ósea. Esta es la razón por la cual a esta anemia también se le denomina anemia megalobástica.

  • Muy poco ácido fólico en la alimentación 
  • Anemia hemolítica
  • Alcoholismo prolongado 
  • Uso de ciertos medicamentos, como fenitoína, metotrexato, sulfasalacina, triamtereno, pirimetamina, trimettoprim con sulfametoxazol y barbitúricos.
Sintomas
  • Fatiaga
  • Dolor de cabeza
  • Palidez
  • ülceras en la boca y lengua. 
Tratamiento:
Identificar y tratar la causa de deficiencia de folato.

Recibir suplementos de ácido fólico por vía oral o intravenosa. Si tiene niveles bajos de folato debido a un problema con los intestinos, posiblemente necesita tratamientos prolongados.

Los cambios en la alimentación puede ayudar a aumentar el nivel de folato. Como más hortalizas de hoja verde y cítricos. 

Referencias Bibliográficas:
Arribas, J. (2005) Hematología Clínica Temas de patología medica. España; Editorial Texto universitario ediuno. 

Manascero, A. (2003). Hematología,herramientas para el diagnostico. Atlas de morfología celular, alteraciones y enferemdades relacionada: (1a. Ed). Bogota, Colombia; Javiero.  

Anemias

Anemia por deficiencia de vitamina B12:
La anemia es una afección en la cual el cuerpo no tiene suficiente globulos rojos, los cuales le suministran el oxieno a los tejidos corporales, la anemia por deficiencia de vitamina B12 es un conteo bajo de glóbulos rojos debido a una falta de dicha vitamina.

Causas de esta anemia:

  • Mala alimentación, consumir una dieta vegetariana, alimentos deficientes a los bebes, desnutricíon en el embarazo.
  • Mala absorcion del organismo hacia la vitamina B12.
  • Alcoholismo 
  • Enfermedad de Crohn
  • Anemias perniciosa
  • Toma de antiácidos y otros medicamentos para la acidez gástrica por un tiempo prolongado.
Sintomas: 
  • Diarrea o estreñimiento 
  • Fatiga
  • Inapetencia
  • Piel pálida
  • Problemas de concentración 
  • Inflamación enrojecimiento de la lengua
Tratamientos: 
El tratamiento dependera de la causa de la anemia pro deficiencia de vitamina B12
  • El tratamiento puede incluir una inyección de vitamina B12 una vez al mes. Las personas con niveles muy bajos de vitamina B12 pueden necesitar más inyecciones al principio. Es posible que necesiten inyecciones cada mes.
  • O tomar B12 oral .
Referencias Bibliográficas:
Arribas, J. (2005) Hematología Clínica Temas de patología medica. España; Editorial Texto universitario ediuno.

Manascero, A. (2003). Hematología, herramientas para el diagnostico. Atlas de morfología celular, alteraciones y enfermedades relacionadas. (1a. Ed) Bogota, Colombia; Javiero.

Anemias

Anemia:  Es una afección en el cual el cuerpo no tiene suficientes glóbulos rojos sanos. Los globulos rojos le suministran el oxigeno a los tejidos corporales.
 Causas: aunque muchas partes del cuerpo ayuda a producir globulos rojos, la mayor parte del trabajo se hace en la médula ósea, el tejido blando en el centro de los huesos que ayuda a la fomación sanguineas.
La hemoglobina es la proteína que transporta el oxigeno dentro de los glóbulos rojos y les da su color rojo. Las personas con anemia no tienen suficiente hemoglobina.
El cuerpo necesita ciertas vitaminas, minerales y nutrientes para producir suficientes glóbulos rojos. el hierrro, la vitamina B12 y el ácido fólico son tres de los más importantes. Es posible que el cuerpo no tenga suficiente de estos nutrientes debido a:

  • Cambios en el revestimiento de estómago o los intestinos que afectan la foma como se absorben los nutrientes. 
  • Alimentación deficiente.
  • Pérdida lenta de sangre.
  • Cirugía en la que se extripa parte del estomago o los intestinos.
  • Ciertos medicamentos. 
  • Destruccion de globulos rojos antes de lo normal 
  • Enfermedades prolongadas
  • Embarazo.
  • Problemas de médula ósea, como linfoma, leucemia, mielodisplasia, mieloma múltiple o anemia aplásica. 
Sintomas:
  • Sentirse malhumorado
  • Debilidad o cansancio
  • Dolor de cabeza.
  • Problemas para concentrarse o pensar.
  • Color azul en la esclerótica de los ojos
  • Uñas quebradizas
  • Pica
  • Mareo al ponerse de pie
  • Color de la piel Palido
  • Lengua adolorida. 
Referencia Bibliografica: 

Arribas, J. (2005) Hematología Clínica Temas de patología medica. España; editorial Texto universitario ediuno. 

 

Anormalidades Plaquetarias

Anormalidades Cualitativas: 

Plaquetas gigantes:
Se consideran grandes cuando son mayores dentro de 4 a 8 micras de diámetro y gigantes cuando su diametro es mayor. Las plaquetas jóvenes normalmente son grandes. Algunas causas de plaquetas gigantes son: condiciones hereditarias como el síndrome de Bernard- Soulier o adquiridos como la púrpura trombocitopénica autoinmune, desórdenes mieloproliferativos, mielodisplasia, coagulopatía intravascular diseminada y púrpura trombótica trombocitopenica.



Anormalidades Cuantitativas:

Trombocitopenia: Se define como un recuento de plaquetas menor de 100,000 células/microlitro. Los procesos fisiopatológicos que la crovocan son: Disminución en la producción, destrucción acelerada, distribución anormal de palquetas.

Trombocitosis: Se define como un recuento de plaquetas elevad, mayor de 450,000 células/microlitros. La trombocitosis reactiva se produce secundaria a la inflamación, traumatismo o enfermedad base y el recuento está elevado durante un periodo limitado y por lo general no excede las 800,000 células/microlitro.

Referencias Bibliograficas:
Ruiz, G. (2009) Fundamentos de Hematología. (4a. Ed). Buenos Aires, Argentina; Editorial Médica Panamericana.

Fotos recuperadas en:
http://www.datuopinion.com/plaqueta

http://mujer.hispavista.com/verSalud/33141/que-es-la-trombocitopenia

https://www.flickr.com/photos/panchovaras/4864381737/

Anormalidades Linfociticas

Linfocitos grandes: Miden de 15 a 25 micras, presentan generalmente un núcleo ligeramente oval discretamente indentado, la cromatina es densa pero no tanto como en el linfocito pequeño (esto lo puede confundir con el monocito). Citoplasma abundante, azul pálido y puede contener gránulos azurófilos inespecíficos.

Linfocitos pequeños: Mide de 9 a 15 micras, presenta un núcleo que ocupa casi toda la célula, excéntrico, cromatina fuertemente densa. El citoplasma es escaso, basófilo y puede contener gránulos azurófilos inespecíficos.

Linfocitos atípicos: Llamados tambien virus linfocitos, células linfomanocitoides, células activadas de Turk, células de Turk virocitos, inmunoblastos, etc. Miden de 15 a 30 micras núcleo irregular, indentado, excéntrico y puede observarse nucleolos. El citoplasma es amplio, color azul tenue, y puede presentar gránulos azurófilos y vacuolas. Estas células pueden observarse en munonucleosis infecciosa, hepatitits viral, herpes zoster, enfermedades autoinmunes y normalmente puede hallarse hasta en 5%.

Linfocitos con mitosis o binucleados: Pueden encontrarse en enfermedades virales.

Linfocitos vacuolados: En caso de linfocitos que reaccionan por efectos de la radiación ultravioleta o respuesta a tratamientos de quimioterapia.


Referencias Bibliográficas:

Ruiz, G. (2009) Fundamentos de Hematología. (4a. Ed). Buenos Aires, Argentina; Editorial Médica Panamericana.

Fotos recuperadas en:
http://biohmikaestefi.blogspot.com/2011_12_01_archive.html

http://www.medicinapreventiva.com.ve/laboratorio/globulos_blancos.htm

http://www.drrondonpediatra.com/mononucleosis_infecciosa.htm

http://www.gechem.net/php/index.php?option=com_kunena&Itemid=56&func=view&catid=25&id=2126





http://www.scielo.org.ar/scielo.php?pid=S0325-29572009000400013&script=sci_arttext


Anormalidades Leucocitarias

Desviación a la Izquierda: Significa el aumento de las fomas inmaduras (en banda o cayado, y juveniles) dentro de los neutrofilos. Constituye un importante valor diagnóstico y pronóstico. Puede obserbarse en: infecciones e intoxicaciones.

Desviación a la derecha: Corresponde a la hipersegmentación nuclear. La mayoria de PMN (polimorfo nucleares) presenta mas de 5 lobulaciones. Ocurre en : Anemias perniciosa, hipersegmentación constitucional hereditaria, reacciones mieloides de la sepsis, acecciones hepáticas, leucemia mieloide y agonia.

Referencia Bibliografica:
Ruiz, G. (2009) Fundamentos de Hematología. (4a. Ed). Buenos Aires, Argentina; Editorial Médica Panamericana.

Alteraciones de Neutrofilos

Granulaciones tóxicas: Son gránulaciones basofilos más oscuros que lo normal y se observa durante el transucrso de infecciones severas y estadios tóxicos.

Vacuolas tóxicas: Se observa en el citoplasma de los neutrófilos durante infecciones severas y estados tóxicos.




Cuerpos de Dohle: Son áreas teñidas de azul en el citoplamsa de los polimorfonucleares neutrófilos y se encuentra en infecciones, especialmente en neumonías.

Palillos de tambor: Es un pequeño apéndice (cromatina sexual) que permite conocer el sexo del individuo mediante una simple observación en un frotis de sangre periferica en los neutrofilos. Se presenta en las mujeres.

Polisegmentación: Son neutrófilos con 5 o más lobulaciones. Se observa en las anemias por deficiencia de vitamina B-12 y ácido fólico, Síndrome de Down y otras anomalías.

Referencias Bibliográficas:
Ruiz, G. (2009) Fundamentos de Hematología. (4a. Ed). Buenos Aires, Argentina; Editorial Médica Panamericana.

Fotos recuperadas en:
 https://raulcalasanz.wordpress.com/2012/09/10/ud1-fisiologia-leucocitaria-leucopoyesis-y-alteraciones-de-la-serie-blanca/

http://es.slideshare.net/Biologiaforense/biologa-forense-organelos-del-citosol

http://raulcalasanz.wordpress.com/

http://www.4shared.com/web/preview/doc/Rir33MxO



domingo, 2 de noviembre de 2014

Anormalidades citoplasmaticas de los eritrocitos

Gránulos de Schuffner: Aparecen en caso de infección por Plasmodium vivax. Estos gránulos se presentan como punteados naranjas o rosados sobre los eritrocitos. No son visibles cuando las tinciones (especialmente Giemsa) se efectúan en los tiempos habituales, por esto para detectarlos, los frotes deben mantenerse en tinción por tres horas.


Referencias Bibliográficas:
Ruiz, G. (2009) Fundamentos de Hematología. (4a. Ed). Buenos Aires, Argentina; Editorial Médica Panamericana.

Foto recuperada en: http://www.cdc.gov/dpdx/monthlyCaseStudies/2010/case271.html

Anormalidades citoplasmaticas de los eritrocitos

Células en rouleaux: Esta formación ocurre cuando las células rojas forman pilas o rollos. Puede aparecer como artefacto debido a la preparación tardía del frote sanguíneo (no inmediatamente después de colocar la gota de sangre sobre la lámina) o por la presencia de altas concentraciones de globulinas anormales o fibrinógeno. Por lo tanto, patológicamente se encuentra en el mieloma múltiple, infecciones virales y la macroglobulinemia; fisiológicamente puede aparecer en el embarazo.

Referencias bibliográficas:
Ruiz, G. (2009) Fundamentos de Hematología. (4a. Ed). Buenos Aires, Argentina; Editorial Médica Panamericana.

Foto recuperada en: http://www.flickriver.com/photos/hematologia/sets/72157620611937404/

Anormalidades citoplasmaticas de los eritrocitos

Punteado basofílico; Artefactos que aparecen como granulos redondos azul oscuros sobre las células rojas, especificamente sobre extendidos teñidos con tinciones supravitales como el azul de cresil brillante. Son pocos distinguibles en tinción de Wright. Los gránulos no son más que fragmentos precipitados de residuos de ribosomas y mitocondrias. Puede observarse en la intoxicación con plomo exposición a drogas, quemaduras severas, anemias o septicemias.

Referencias bibliograficas:
Ruiz, G. (2009) Fundamentos de Hematología. (4a. Ed). Buenos Aires, Argentina; Editorial Médica Panamericana.

Foto recuperada en : http://www.telmeds.org/atlas/hematologia/serie-roja/anomalias-de-contenido/punteado-basofilo/

Anormalidades citoplasmaticas del eritrocito

Cuerpos de Pappenheimer: También conocido como siderocitos o anillos de Cabot. Granulos de hierro presentes en los eritrocitos, coloreados de azul con Wright o Azul de Prusia. Son estructuras intra-eritrocitarias, moderadas, finas, parecidas a pequeños anillos. Se asocian con anemias severas, talasemias, envenenamiento con plomo e hipoesplenismo.






Referencias Bibliográficas:
Ruiz, G. (2009). Fundamentos de Hematología. (4a. Ed). Buenos Aires, Argentina; Editorial Médica Panamericana.

Foto recuperada en: //www.flickr.com/photos/57338571@N04/5281720625/


Anormalidades citoplasmaticas de los eritrocitos

Cuerpos de Howell-Jolly: Inclusiones esféricas en la células rojas que con tinción de Wright aparecen como artefactos definidos de color azul-negro. Se trata de fragmentos nucleares de ADN condenados, de 1-2 micras de diámetro, normalmente removidos por el bazo. Estas estructuras aparecen en anemias hemolíticas severas y en pacientes con bazo disfuncionales o después de someterse a esplenectomía



Referencias Bibliograficas:
Ruiz, G. (2009). Fundamentos de Hematología. (4a. Ed). Buenos Aires, Agentina; Editorial Médica Panamericana.

Foto recuperada en:http://www.telmeds.org/atlas/hematologia/serie-roja/anomalias-de-contenido/cuerpos-de-howell-jolly/




Anormalidades citoplasmaticas de los eritrocitos

Eritrocito policromatofílico: La policromatofília puede definirse como un incremento en el número de células rojas inmaduras en sangre periférica, que con tinción de Wight muestra una coloración azul-grisacea, indicando la presencia de ARN citoplasmático. Estas células usualmente son grandes (macrocitos) y muchas de ellas muestran ser reticulocitos cuando se tiñen con tinción supravitales como  el azul de cresil brillante. Estas formas aparecen bajo condiciones aceleradas de producción de células rojas, como en el caso de la anemia hemolítica, hemorragias aguadas, uremia y en las etapas post-tratamiento de la anemia por deficiencia de hierro o anemia megalobástica.

Referencias Bibliográficas:
Ruiz, G. (2009) Fundamentos de Hematología. (4a. Ed). Buenos Aires, Argentina; Editorial Médica Panamericana.

Foto recuperada en : http://www.telmeds.org/atlas/hematologia/serie-roja/ontogenia-de-serie-eritroide/eritrocito-policromatofilico/
 

Anormalidades morfológicas de los eritrocitos

Microesferocitos: Constituye en realidad, formas preliticas que se originan por recorte dimetrico o parcial de la membrana de hematíe. Son células con una disminución significativa de la relación superficie/ volumen y un aumento de la concentración media de la hemoglobina corpuscular, factores que como se ha dicho determinan la defromidad del hematíe. Los microesferocitos, se observan en anemias hemoliticas heredadas como la SH. Se asocia también, con desordenes que cursan con formación de Cuerpos de Hainz. El mecanismo esf
erogénico, en este caso,  al igual que en la hemólisis inmune es la fagocitosis parcial de porciones de la célula que contiene agregados de hemoglobina desnaturalizada y porciones de membrana sensibilizada respectivamente. La injuria térmica (quemaduras mayores) y la injuia mecanica induce hemólisis intravascular, fragmentación celular y formación de microesferocitos. La hipofosfatemia severa cursa como un anemia hemolítica caracterizada por una marcada microesgerocitosis.

Referencias Bibliográficas:

Ruiz, G. (2009) Fundamentos de Hematología. (4a. Ed). Buenos Aires, Argentina; Editorial Médica Panamericana.

Foto recuperada en: http://vzmechani.blogspot.com/2006/09/anemias-hemoliticas-adquiridas.html


sábado, 1 de noviembre de 2014

Anormalidades morfológicas de los eritrocitos

Dacriocito o célula en gotera: Se refiere este término a la células roja caracterizada por una elongación única asumiendo una forma periforme o gotera rasgada. Su génesis permanece oscuara. Constituye un hallazgo ocasional en anemias megaloblasticas, talasemias y mielofibrosis. Tambien aparecen estos hematíes en la hematopoyésis extramedular. (míelofibrosis, anemia mieloptísica).


Referencias Bibliografica:
Ruiz, G. (2009) Fundamentos de Hematología. (4a. Ed). Buenos Aires, Argentina; Editorial Médica Panamericana.

Foto recuperada en: http://www.fotolog.com/tanianc21/40929791/

sábado, 25 de octubre de 2014

Anormalidades morfológicas de los eritrocitos

Codocitos: Tambien denominadas células diana. Eritrocitos con un punto coloreado céntrico, dando la forma de un blanco. Estas formas se encuentran en las anemias hemolíticas, hemoflobinopatía C y talasemias.







Referencia Bibliografica:

Ruiz, G. (2009) Fundamentos de Hematología. (4a. Ed). Buenos Aires, Argentina; Editorial Médica Panamericana.

Foto recuperada en: https://www.flickr.com/photos/64061910@N02/galleries/72157626985683298

Anormalidades morfológicas de los eritrocitos

Estomatocitos: Eritrocitos con una invaginación central en forma de boca, de forma oval o rectangular en la zona central. Estos eritrocitos son realmente discos unicóncavos. Se produce en el alcoholismo y en las hepatopatía crónicas, quemaduras, talasemias, lupus eritematoso sistémico, envenenamiento con plomo y en la estomatocitosis hereditaria.



Referencia bibliográfica:

Ruiz, G. (2009) Fundamentos de Hematología. (4a. Ed). Buenos Aires, Argentina: Editorial Médica Panamericana.

Foto recuperada en: https://www.flickr.com/photos/hematologia/3668526171/

Anormalidades morfológicas de los eritrocitos.

Esferocitos: eritrocitos de una forma esférica, y no presentan el halo de luz centra característico de los eritrocitos normales.  Los eritrocitos pueden ser  pequeño tamaño (micoesferocitos), los esferocitos grandes (macroesferocitos) . Se produce en el hidocitosis, en la anemia inunohemolitica y, sobre todo, en la esferocitosis hereditaria y quemaduras severas.





Referencia Bibliografica:
Ruiz, G. (2009) Fundamento de Hematología. (4a. Ed). Buenos Aires, Argentina; Editorial Médica Panamericana.

Foto recuperada en: http://www.elrincondelamedicinainterna.com/2012/10/frotis-de-sangre-periferica-esferocitos.html

Anormalidades morfológicas de los eritrocitos

Drepanocitos o células en hoz: Células rojas que han tomado forma de media luna. Cuando un persona con hemoglobinopatías de células en hoz es expuesto a deshidratación, infección o baja oxigenación, sus frágiles células rojas forman cristales líquidos, tomando la forma de media luna, lo que ocasiona destrucción celular y espesor en la sangre.






Referencia Bibliografica:
Ruiz, G. (2009) Fundamentos de Hematología. (4a. Ed). Buenos Aires Argentina; Editorial Médica Panamericana.

Foto recuperada en: http://articulos.sld.cu/editorhome/archives/tag/drepanocitos

Anormalidades morfológicas de los eritrocitos.

Esquistocitos: son eritrocitos fragmentados. Se produce en la anemia microangiopática, en la hemólisi mecánica por la presencia de un prótesis valvular en el corazón y en las quemaduras graves. Se le conoce como células mordidas.






Referencia Bibliografica:
Ruiz, G. (2009) Fundamentos de hematología. (4a. Ed). Buenos Aires, Argentina; Editorial Médica Panamericana.

Foto recuperada en: http://www.galenusrevista.com/Purpura-trombotica.html

Anormalidades morfológicas de eritrocitos

Eliptocitos: Son células rojas ovales o con forma de cigarrillo. Estas formas pueden encontrarse en: eliptocitosis hereditaria, anemia ferropénica, anemia mieloptísica, anemia megaloblástica, talasemia, anemia sideroblástica, anemia congénita diseritropoyética.






Referencia Bibliografica:
Ruiz, G. (2009). Fundamentos de hematología. (4a. Ed). Buenos Aires, Argentina; Editorial Médica Panamericana.

Foto recuperada en: http://www.binipatia.com/eliptocitosis-hereditaria/

Anormalidades morfológicas de los Eritrocitos

Equinócitos: Células en erizo o células crenadas, con proyecciones espiculares regulares. Los vemos en las uremias y en la perdida de volumen eritrocitario. Las proyecciones están regularmente dispersas sobre la superficie celular, a diferencia de las que se presentan en los acantocitos.





Referencias Bibliográficas:
Arias, J. (2000) Enfermería medico-quirúrgico. Editorial Tebar.  

Foto recuperada en: http://www.drgen.com.ar/2010/05/video-globulo-blanco-y-bacteria/

Alteaciones Eritrocitarias

Acantocitos: (Células especuladas) son eritrocitos con escasas proyecciones irregulares, que varían en ancho, longitud y distribución sobre la superficie. Estas proyecciones varían en extensión pero usualmente presenta extremos romos. Estas irregularidad puede encontrarse en las alfa o betas-lipoproteinemia y en ciertos desórdenes hepáticos.





Referencias Bibliográficas:

Ruiz, G. (2009) Fundamentos de hematología. (4a. Ed). Buenos Aires, Argentina; Editorial Médica Panamericana.

Foto recuperada en: http://www.lookfordiagnosis.com/mesh_info.php?term=Acantocitos&lang=2

lunes, 6 de octubre de 2014

Trombopoyesis

Plaquetas: Cuando la plaqueta entra a la circulación sanguínea pperiférica su diámetro promedio es de 2,5 micras. Lamentablemente, este tamaño esta muy cerca del poder de resolución de microscopio óptico y no es posible observar los detalles. En su mayoría, las plaquetas no estimuladas son discos lentiformes con márgenes lisos. La estructura plaquetaria puede dividirse en áreas: periféricas, sol-gel, organelas y de membrana.





Referencia Bibliográfica:

  • Rodak. (2002). Hematología fundamentos y aplicaciones clínicas. (2a. Ed). Argentina; Médica Panamericana.
  • Foto recuperada en: http://salud.uncomo.com/articulo/como-subir-las-plaquetas-3843.html

Tombopoyesis

Megacariocito: En esta etapa final de la maduración, el megacariocito maduro libera segmentos citoplasmaticos a traves de fenetraciones sinusoides medulares en un proceso a través denominado brote o desprendimiento de plaqueta. Cuando todas la plaquetas han sido liberada hacia el torrente sanguíneo, los núcleos desnudos estantes son fagocitados por los histiocitos medulares. Debido a que miles de plaquetas se desprende de cada megacariocito maduro, se requieren menos células progenitoras en comparación con otra precursores celulares.

Referencia Bibliográfica:

  • Rodak. (2002) Hematología fundamentos y aplicaciones clínicas. (2a. Ed). Argentina; Médica Panamericana. 
  • Foto recuperada en: http://www.telmeds.org/wp-content/uploads/2009/06/megacariocito4.jpg

Tombopoyesis.

Megacariocito basófilo: Los distintos patrones de granulación y la divisiones finales del núcleo se producen en el tercer estadio, denominado megacariocito basófilo. Las lineas citoplasmaticas de demarcación a hacerse notorias y delinean fragmentos citoplasmaticos individuales que luego se liberan como plaquetas. Cada área demarcada contiene un membrana, un citoesqueleto, un sistema de microtúbulos, canales y una porción de gránulos citoplasmáticos.

Referencia Bibliográficas:


  • Rodak. (2002) Hematología fundamentos y aplicaciones clínicas. (2a. Ed.). Argentina; Médica Panamericana.
  • Foto recuperada en: http://www.telmeds.org/atlas/hematologia/serie-trombocitica/megacariocitos/

Trombopoyesis

Promegacariocito: El promegacarioblasto madura y se convierte en un promegacariocito (MK2), que crece y alcanza un diámetro de 80 micras. Tres tipos de gránulos formados en el aparato de Golgi, denominados densos, alga y lisosómico, está dispersos en todo el citoplasma.


Referencia Bibliográfica:


  • Rodak. (2002) Hematología fundamentos y aplicaciones clínicas. (2a. Ed). Argentina: Médica Panamericana. 
  • Foto recuperada en: http://image.bloodline.net/stories/storyReader$1329.html

Trombopoyesis

Megacarioblasto: Tienen un diámetro de 10-15 micras con un proporción elevada entre núcleo y citoplasma. Poseen una solo núcleo con dos a seis nucleolos. El citoplasma escaso y azul y no contiene gránulos. Se parecen a linfocitos o a otros blastos de médula ósea y por ende no puede identificarse con precisión solo sobre la base de morfología. Durante este estado puede sufrir división nuclear y aumenta el volumen de citoplasma y alcanza un diámetro de hasta 50 micras. En ocasiones lo megacarioblastos ingresan en la circulación y viajan a lugares extremedulares, donde pueden continuar su maduración.

Referencia Bibliográfica:

  • Rodak. (2002) Hematología fundamentos y aplicaciones clínicas. (2a. Ed) Agentina. Médica Panamericana. 

  • Foto recuperada en:http://textos-fisiopatologia.blogspot.com/2013/08/sangue-xxxx.html 

Trombocitopoyesis

El proceso de trombopoyesis dura aproximadamente 7 días. Se inicia a partir de una célula progenitora multipotencial común a la serie eritroide, mieloide y megacariocítica. Tras una primera fase proliferatica, las células progenitoras sufren una intensa división nuclear sin división celular, dado lugar megacarioblasto, promegacariocito, megacariocito y plaquetas.  
Referencia Bibliográfica:
Manascero. A. (2003) Hematología, herramienta para el diagnostico. Atlas de morfología celular, alteraciones y enfermedades relacionadas. Bogota, Colombia. Javierano.


Foto recuperada en: http://biometria-hematica.blogspot.com/2011_03_01_archive.html

Serie Linfopoyetica

Linfocito: Es una célula linfática (se fabrica por células linfoides presentes en la médula ósea y que posteriormente migran a órganos linfoides como el timo o se quedan en la médula osea. La morfología de los linfocitos, cuando se tiñen con tinción de Wright, caria sobre todo en el tamaño. Esta diferencia puede deberse a la actividad de las células o a la localización en el extendido en la que e encuentra. Las células en las áreas densas del extendido tiende a ser redondas y aparecen más pequeñas y densas de los que son en realidad la forma mas común es el linfocito pequeño, de alrededor de 9 micras de diámetro con citoplasma escaso y unos pocos gránulos azurófilos. El núcleolo es redondo a oval, y sus patrón de cromatina es en bloque.
El linfocito de tamaño mediano tiene un diámetro de alrededor de 11 a 14 micras. Su citoplasma en general contiene gránulos azurófilos que se distinguen con mayor claridad, quizá como resultado de un cantidad mayor de citoplasma. Aunque estas células son más grandes que los linfocitos pequeños, la relación entre núcleo y citoplasma es en esencia similar. Al igual que los linfocitos pequeños esta células no se dividen.
El linfocito grande es el más raro en sangre periférica. Tiene un diámetro de unos 15 micras o más, y su citoplasma más generoso suele adquirir un color azul más oscuro cuando se tiñe.

Referencia Bibliografica:

  • Rodak. (2002) Hematología fundamentos y aplicaciones clínicas. (2a. Ed). Argentina; Médica Panamericana.   

  •  Foto recuperada en: http://es.wikipedia.org/wiki/Linfocito

Serie Linfopoyetuca

Prolinfocito: El prolinfocito es más pequeño que el linfoblasto (mide entre 11 y 15 micras de diámetro), el núcleo es esférico, ocupa la mayor parte de la células, la cromatina esta condensada y podría verse un nucleolo. La membrana nuclear es densa y puede observarse una zona clara perinuclear. En este estadio el citoplasma pierde hiperbasofilia.

Referencia Bibliografica:

  • Manascero. A. (2003). Hematología, herramienta para el diagnostico. Atlas de morfología celular, alteraciones y enfermedades relacionadas. Bogota, Colombia. Javierano.
  • Foto recuperada en: http://amunevar.wix.com/hematologia#!galeria


Serie Linfopoyetica

Linfoblasto: es una célula de tamaño entre 15 y 20 micras de diámetro posee menos nucleolos que el mielobasto (uno o dos), tiene una membrana nuclear densa y una zona pericuvlear clara. El citoplasma con hiperbasofilia, por lo general periférica, esta desprovisto de gránulos, incluso en condiciones patológicas. Desde muy temprano expresan marcadores de linaje sea T o B, como el CD3 y CD10 respectivamente.




Referencia bibliografica:

  •  Manascero. A. (2003). Hematología, herramienta para el diagnóstico. Atlas de morfologías celular, alteraciones y enfermedades relacionadas. Bogota, Colombia. Javierano.

Foto recuperada en: http://www.bligoo.com/explore/article/7341876/Linfoblasto.html

Serie Linfopoyetica


Macrófago

Macrófago: células grandes con actividad fagocitar importante y con un rango de tamaño entre 15 y 85 micras de diámetro. Son pleomorfos y, debido a su movilidad, con frecuencia se encuentran con seudópodos. La función es fagocitar. Los macrófagos pueden dividirse en dos categorías: libres y fijos. Los macrófagos libres se encuentran en concentraciones variables en todo los sitios de inflamación y reparación, espacios alveolares y liquido peritoneal y sinovial, mientras que los macrófagos fijos (tejidos) se encuentran en concentraciones y en sitios especificos como el sistema nervioso (células microgliales), el hígado (células de Kupffer), bazo, la médula ósea y los ganglios linfáticos. Son células grandes con citoplasma extenso lleno de de gránulos y con frecuencia poseen numerosas vaculolas. En los casos típicos
el núcleo es redondo a reniforme y puede contener uno o dos nucleolos.

Referencia Bibliográfica:
  • Rodak. (2002) Hematología fundamentos y aplicaciones clínicas. (2a. Ed.). Argentina; Médica Panamericana.  
  • Foto recuperada en: http://www.imagenestotal.com/macrofago-en-movimiento/ 

jueves, 2 de octubre de 2014

Monocito

Monocito: Los monocitos son las células de mayor tamaño de la sangre periférica. Su tamaño oscila entre 15 a 30 micras de diámetro. El núcleo, situado en posición central, es voluminoso y adopta formas abigarradas en herradura, muescas o doblados. La cromatina es la menos densa de las células maduras y tiene aspecto como peinada en finas granjas cromáticas. El citoplasma es amplio, en ocasiones presenta mamelones periféricos, es color azul plomizo, contiene un número variable de gránulos azurófilos y puede contener algunas vacuola.

Los monocitos suele constituir de 4% a 10% de leucocitos. Son células fagocíticas con gran capacidad bactericida. Ante de sustancias químicas, siguen a los neutrofilos en la reacción inflamatoria. Posee dos funciones, la fagocitosis de bacterias, parásitos, células dañadas o envejecidas, restos de tejidos, la segunda función es la presentación de partículas antigénicas procesadas a los linfocitos B y T.

Referencias Bibliográficas:
  • Manascero, A. (2003). Hematología, herramientas para el diagnostico. Atlas de morfología celular, alteraciones y enfermedades relacionadas. (1a. Ed). Bogota. Colombia; Javierano. 
  • Foto recuperada en: http://www.telmeds.org/atlas/hematologia/serie-blanca/mononucleares/monocito/

Promonocito

Promonocito: Luego de la mitosis y la maduración, el blasto se convierte en promonocito. Los promonocitos son claramente identificables en la médula ósea, poseen un tamaño de 15 a 20 micras y un elevada relación nucleocitoplasmática, aunque contienen ciertas granulación. Comienza a adquirir una apariencia mas monocitoide como núcleo doblados, torcidos o con muescas y citoplasma de forma irregular. El citoplasma es intensamente basófilo por su gran riqueza en polirribosomas y puede contener un número variable,

 Puede ser móviles y participar en la fagocitosis. Citoquímicamente los promonocitos contienen fosfatasa ácida, naftol-As-D-acetatoesterasa fluorosensible, alfa- naftilbutilbutiratoesterasa, peroxidasa, N-acetil-beta-glucosaminidasa y arilsulfatasa.

Referencia Bibliográfica

  • Manascero, A. (2003). Hematología, herramientas para el diagnostico. Atlas de morfología celular, alteraciones y enfermedades relacionadas.(1a. Ed). Bogota. Colombia; Javierano.
  • Rodak. (2002) Hematología fundamentos y aplicaciones clínicas. (2a. Ed). Argentina; Médica Panamericana.
  • Foto recuperada en: http://a-v-efremov.narod.ru/phot.html

lunes, 29 de septiembre de 2014

Monoblasto

Se genera a partir de la CFU-GEMM y se encuentra en mayor medida en la médula ósea, aunque algunos lugares secundarios posibles son el bazo y otro sitio reticuloendoteliales. Los monoblastos se encuentran en bajas cantidades en la médula osea, y su única función se produce durante la mitosis. Son células grandes con un núcleo localizado de manero excéntrica que contiene uno o dos nucléolos visibles. Su citoplasma no es granular y cuando se tiñe se presenta débilmente positivo para la peroxidasa. La diferencia entre el mieloblasto y el monoblaso puede ser difícil o imposible en algunos trastornos neoplásicos

Referencia Bibliográfica
Rodak. (2002) Hematología fundamentos y aplicaciones clínicas. (2a. Ed). Argentina; Médica
Panamericana.
Foto recuperado en: www.flickr.com/photos/hematologia/3668525599/

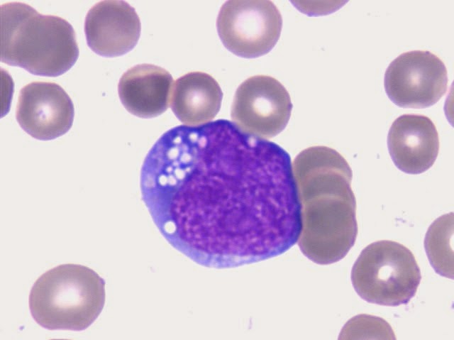
Maduración del Monocito


Basófilo:

Tamaño: 10-14 micras
Núcleo: en general, 2 lóbulos conectados por filamentos delgados sin cromatina visible. No se presenta nucléolos y su cromatina en grumos gruesos.
Citoplasma: lavanda a incoloro.
Gránulos: Primarios: escasos.
Secundarios: de número variable con distribuciones poco uniforme; pueden ocultar el núcleo; violeta intenso a negero; de forma irregular. Los gránulos son solubles en agua y pueden desaparecer durante la tinción, con lo que dan el aspecto de áreas vacías en el citoplasma. 

Relación núcleo citoplasma: predominio el citoplasma.
Intervalo de Referencia: Médula osea: <1%
Sangre periférica: 0-1%

Referencia Bibliográfica:

  • Rodak, C. (2009) Atlas de Hematología Clínica. (3a. Ed). Argentina: Médica Panamericana. 
  • Foto recuperada en:  http://recursos.cnice.mec.es/biosfera/alumno/2bachillerato/inmune/ampliabasofilo.htm

jueves, 11 de septiembre de 2014

Serie Granulocítica: Granulopoyesis

Eosinófilo 
El eosinófilo tiene un diámetro de 12 a 17 micras. El núcleo en forma de anteojo de dos a tres lóbulos, generalmente dos acompañados de un tercero central y muy pequeño. El citoplasma está completamente lleno de gránulos gruesos, esféricos de color rojizo naranja y de tamaño uniforme distribuidos en forma regular en toda la célula. Estos gránulos se hallan limitados por una membrana fosfolipidica y tienen una porción central cristaloide rodeada por una matriz cuya características tintoriales, acidofilia, esta dada por su riqueza en proteínas catiónicas, que ademas tienen acción citotóxica contra algunos parásitos. Las concentraciones de los eosinófilos se mantienen entre el 1% y el 3% durante toda la vida. El eosinófilo modula y regula las reacciones alérgicas, posee elementos antihistamínicos, histaminasa, antiinflamatorios como la catalasa,  que inactiva al peróxido de hidrógeno. y otras enzimas como peroxidasa, glucoronidasa y fosfolipasa. 

Referencia Bibliográfica:
Manascero, A. (2003) Hematología, herramienta para el diagnostico. Atlas de morfología celular, alteraciones y enfermedades relacionadas. Bogotá, Colombia. Editorial Javierano.
Fotos obtenidas de http://www.telmeds.org/atlas/hematologia/serie-blanca/ontogenia/mielocito-eosinofilo/

Serie Granulocítica: Granulopoyesis

Neutrófilo

También llamado polimorfonuclear neutrófilo, tiene un tamaño de 9 a 15 micras de diámetro. El núcleo presenta entre dos y cinco lóbulos; la cromatina condensada se tiñe de morado oscuro; el citoplasma es acidófilo y contiene gránulos primarios y específicos, pequeños y abundantes, de color rojo-rosado. Los gránulos primarios de los neutrófilos son ricos en mieloperoxidasa, hidrolasas ácidas y enzimas proteolíticas o proteasas. Los secundarios contienen lactoferrina, que actúa como un elemento bactericida quelante de hierro, fosfatasa ácida y alcalina, glucoronidasa y nucleasas.
El neutrófilo es el leucocito más abundante en la sangre periférica de adulto (de 55% a 60%). Al nacer, la concentración de neutrófilos es de cerca de 60%.

Referencia Bibliografica.
Manascero, A. (2003) Hematología, herramienta para el diagnostico. Atlas de morfología celular, alteraciones y enfermedades relacionadas. Bogotá, Colombia. Editorial Javierano.

Serie Granulocítica: Granulopoyesis

Banda

Al progresar en su maduración, el metamielocito estrecha su núcleo hasta que éste se transforme en una delgada banda, que origina la célula de mismo nombre. Puede adoptar diferentes formas, lo importante es que es una banda perfecta que no presenta indicios de lobulación, es decir, empieza a presentar señales de adelgazamiento que luego se convierte en un puente de cromatina y deja separados los lóbulos. Las bandas tienen una tamaño algo inferior al del metamielocito, con las características morfológicas del citoplasma idéntico a las de su precursor. La mayor parte de estas células se localizan en médula ósea. En condiciones normales, un 2% a un 5% de bandas neutrófilas pasa a la sangre periférica, pero esta proporción aumenta, entre otros, en los procesos de infecciosos. La banda eosinófilas y basófilas no se encuentran normalmente en la sangre periférica.


Manascero, A. (2003) Hematología, herramienta para el diagnostico. Atlas de morfología celular, alteraciones y enfermedades relacionadas. Bogotá, Colombia. Editorial Javierano.
Fotos obtenidas de http://www.telmeds.org/atlas/hematologia/serie-blanca/ontogenia/mielocito-eosinofilo/

Serie Granulocítica: Granulopoyesis.

Metamielocito

El metamielocito tiene una tamaño entre 10 a 15 micras; morfológicamente se caracteriza por presentar un citoplasma maduro, acidófilo ( en el caso de basófilo y neutrófilos) y basófilo (en el caso de la eosinófilos), con gránulos azurófilos puntiformes y gránulos específico de cada serie. El núcleo conserva características inmadurez y aunque ya no se observan nucleolos, empieza a reducir su volumen y a presentar muescas, con lo que adopta un aspecto reniforme con la parte convexa situada en la periferia celular y con la cóncava dirigida hacia el centrosoma -podría verse también en forma de banda ancha-. Esta célula ha perdido la capacidad mitótica. 
Metamielocito Neutrófilo
Núcleo: 
 Pierda su forma redonda al presentar una hendidura que le da la apariencia de frijol
Cromatina es compacta.
Citoplasma:
Acidófilo
Sigue presentando granulaciones específicas o secundarias los cuales contienen: fosfatasa alcalina, lisozima, aminopeptidasas, colagenasa, y proteínas básicas.
Se puede apreciar un sol naciente por la características núcleo-citoplasma.


Metamielocito Eosinófilo                                                   Metamielocito Basofilo



Referencias Bibliográfica:
Manascero, A. (2003) Hematología, herramienta para el diagnostico. Atlas de morfología celular, alteraciones y enfermedades relacionadas. Bogotá, Colombia. Editorial Javierano.
Fotos obtenidas de http://www.telmeds.org/atlas/hematologia/serie-blanca/ontogenia/mielocito-eosinofilo/